.jpg)
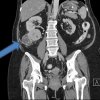
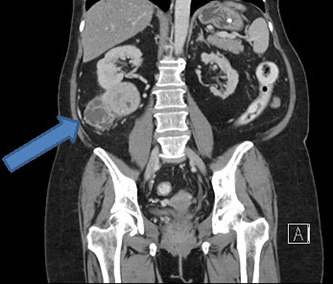
Cancer treatment options such as chemotherapy, radiotherapy, nano-medicine, and surgery are among the many techniques available to cancer patients. However, the large volume of research in this field has given birth to a new range of issues, such as choosing the appropriate implementation, and the often high cost of such treatments. Among the many treatments routinely prescribed to cancer patients are anti-angiogenic drugs such as tyrosine kinase inhibitors (TKIs). Such drugs are extremely expensive, and may cause numerous side-effects in the patient. Therefore, a reliable anti-angiogenic predictor which can help determine the projected outcomes of such treatments may be highly useful. Researchers from the Institute of Bioengineering and Nanotechnology (IBN), Singapore General Hospital (SGH), and National Cancer Centre Singapore (NCCS) have developed a test kit which they believe will help to address these concerns, in patients diagnosed with clear cell renal cell carcinoma (ccRCC), one of the three major types of kidney cancer.
According to the study in European Eurology, the researchers have developed a practical, eight-gene assay which is able to determine the particular subtype of the measured ccRCC sample. The researchers performed a whole-genome expression analysis on samples with material from 55 ccRCC patients, and compiled the results into different categories, with different probable responses to treatment. The assay may be used to distinguish patients into groups with different survival and treatment outcomes, by comparing their particular ccRCC profile to the research conducted in the study. Patients suffering from renal cell carcinoma may benefit from this technology, as it may determine the potential for a successful anti-angiogenic TKI implementation, as well as the survival potential of the patient. In light of the high price of TKIs, and the threat of potential side-effects, the test kit could prove to be a highly beneficial piece of technology.
From the study:
“Patients with clear cell renal cell carcinoma (ccRCC) have divergent survival outcomes and therapeutic responses, which may be determined by underlying molecular diversity. We aimed to develop a practical molecular assay that can identify subtypes with differential prognosis and response to targeted therapy. Whole-genome expression analysis of formalin-fixed paraffin-embedded (FFPE) material from 55 ccRCC patients was performed and two molecular subtypes with differential clinical outcomes were identified by hierarchical clustering. An eight-gene quantitative polymerase chain reaction assay for classification into two subtypes was developed for FFPE material. The primary objective was to assess assay performance by correlating ccRCC prognostic subtypes to cancer-specific survival (CSS) and, for patients receiving targeted therapy, radiologic response.”
source:European Eurology