
With its ‘Digital by Design’ wireless detector GE Healthcare aims to help radiologists transition from analog to digital, and increase access for patients worldwide

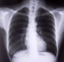
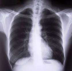
GE Healthcare announced the 510k clearance of its next generation wireless, digital X-ray detector at the 96THannual meeting of the Radiological Society of North America (RSNA) in Chicago. GE’s FlashPad is a reliable, long-term investment for future Radiography and Fluoroscopy systems, compatible with a variety of GE X-ray products today and is the only wireless digital detector capable of supporting advanced applications.
Designed for digital use based on customer input, FlashPad is a flexible, wireless detector that features two handles that make it easier to position and maneuver. It is equipped with GE’s most advanced X-ray detector technology, and its unique design provides up to eight percent more coverage for key applications and maintains high image quality at low dose levels. This wireless DR option was engineered to provide high image quality at low dose levels and is capable of being utilized in all routine radiography exams, and specialized areas including, pediatric work, intensive care and trauma, and wherever conventional screen-film systems may be used.
“FlashPad is a byproduct of direct customer feedback on the challenges facing radiology departments all over the world,” said Anne LeGrand, Vice President and General Manager of X-Ray for GE Healthcare. “For the patient, this new solution from GE allows for improved access to critical X-ray technology and for customers, this innovation is a great way for any radiography department to go digital today with an affordable investment which answers the growing demand for advanced applications.”
Among the advanced applications that can be performed using FlashPad, include:
- VolumeRAD - GE’s version of digital tomosynthesis for radiography removes overlaying and underlying structures, which improves the detection of lesions and therefore enhances sensitivity. VolumeRAD provides physicians multiple high-resolution slice images of the human anatomy, including the chest, abdomen, extremities and spine, using an X-ray system.
- Dual Energy Subtraction – GE’s outstanding digital X-ray applicationeliminates overlying bone obstruction from chest or abdominal images.
FlashPad is at the heart of several radiography products from the company:
- Discovery XR656 (powered by FlashPad)
- DR Imaging Option for Proteus XR/a (powered by FlashPad)
- DR Imaging Option for Precision 500D (powered by FlashPad)
- Optima XR220 amx and Optima XR200 amx (powered by FlashPad) [510(k) pending at FDA. Not available for sale in the U.S.]
ABOUT GE HEALTHCARE:
GE Healthcare provides transformational medical technologies and services that are shaping a new age of patient care. Our broad expertise in medical imaging and information technologies, medical diagnostics, patient monitoring systems, drug discovery, biopharmaceutical manufacturing technologies, performance improvement and performance solutions services help our customers to deliver better care to more people around the world at a lower cost. In addition, we partner with healthcare leaders, striving to leverage the global policy change necessary to implement a successful shift to sustainable healthcare systems.
Our “healthymagination” vision for the future invites the world to join us on our journey as we continuously develop innovations focused on reducing costs, increasing access and improving quality around the world. Headquartered in the United Kingdom, GE Healthcare is a unit of General Electric Company (NYSE: GE). Worldwide, GE Healthcare employees are committed to serving healthcare professionals and their patients in more than 100 countries. For more information about GE Healthcare, visit our website at www.gehealthcare.com.